難症例でも対応が可能な、台場インプラント診療所のオールオン4。
口元をずっと隠してきた日々から抜け出して、きれいな歯を見せて笑いたい。昔のように固いものでも何でも咬めるようになる。
人生をそのように変えたい思いはありますか?
当院が提供する最高水準の歯科治療の技術が、その決心を現実に変えます。
オールオン4とは

オールオン4とは、インプラント治療の一種で、総入れ歯の方や多くの歯を失った方が対象の治療です。4本のインプラントを顎の上下に埋入することで全ての歯を取り戻すことができます。特に当院が提供しているオールオン4の場合、骨の移植の必要がなく、抜歯からインプラントの埋め込み、仮歯の装着までがその日のうちに完了します。それまで使用していた歯や入れ歯がたった1日で、新しく埋め込んだインプラントに支えられている仮歯に代わり、しっかりと噛んで食事をとることができるようになるという、最新の治療となっています。
従来のインプラントとオールオン4


- 治療
方法 - 歯1本に対して
インプラント 1本を 埋入 - 4本のインプラント
のみを用いて、 片顎を全体的に 回復させる - 埋入
本数 - 8本以上
- 4本
- 治療
期間 - 骨移植が必要な
ケースでは 1年以上 - 1日のうちに
固定式仮歯が 入る - 骨造
成術 - サイナスリスト
骨造成 - 骨造成なし
(遠心部 インプラントの 傾斜埋入) - 仕様
メーカー - 幅広い選択肢
- ストローマンBLX
ノーベルバイオケア - 保証
- インプラント
5〜10年、 上部体3〜5年(ケースに よって変動) - インプラント
5〜10年、 上部体3〜5年(ケースに よって変動) - 総額
費用 - 税別
約450万円〜 600万円 (インプラント 8本埋入 + 上部構造12本) - 片顎
税別 220万円〜 400万円 (インプラント 4本埋入 + 上部構造) - お食事
- 長期間
入れ歯を入れた 状態での お食事となる - 手術当日より
噛んで お食事ができる - 手術後
の経過 - 治療期間中は
仮歯や入れ歯を 装着しますが、 当日に歯を 入れられない 場合がある - 入れ歯を
装着せず、 手術当日に 固定式の 歯を 使用できる
- オールオン4の特徴
- 片顎につき4本のインプラントを埋入して10〜12本の歯を支える
- 手術当日に仮歯が入る
- 骨を増やす手術が必要ない場合が多い
- 従来のインプラント治療よりも手術回数が少ない
骨の状態により場合によっては6本のインプラントを埋入する場合がある(オールオン6)
オールオン4
オールオン6


オールオン4のメリット
- 手術当日に仮歯を装着できる

抜歯→インプラント埋入→仮歯の装着がたった一日で完了します。
- 身体的・経済的負担を軽減できる

骨の移植や人工骨により骨を増やす手術が必要ないこと、インプラントの本数が片顎につき4本で済むことから、身体的にも経済的にもかかる負担が軽減されます。
- 機能性や見た目のレベルが高い

4本のインプラントで10〜12本の人工歯をしっかり支えるので、入れ歯のような違和感が少なくなります。また、一度にすべての人工歯を作成するため、歯の色や歯並び、歯茎の自然な膨らみなど、元々の歯のような美しい見た目の再現が可能です。
- 骨の移植や人工骨を作成をせずともインプラントの埋入が可能

骨の移植、または人工骨作成を行わずにインプラントを埋め込むことができます。
- 高い成功率を誇る治療

オールオン4の治療における成功率は高い水準となっています。
- 食事・口臭のお悩みを解決する

オールオン4の場合、たった1日のうちに仮歯を装着することが可能なため、入れ歯を装着することなく、その日から簡単な食事をとることが可能です。また、口臭の原因となっている「歯周病」に骨が侵されてしまっている場合でも、治療中にその骨を除去するため、口臭の悩みも同時に解消されます。
オールオン4のデメリット
- 少数の残っている歯を抜く必要がある

オールオン4では、全ての歯を失ってしまっている方や、歯周病などで全ての歯を抜かなければならない方のための治療法です。
※現在残っている歯でも抜いた方が良いと判断した際には、抜歯をした上でオールオン4をおすすめすることもございます。- 治療可能な医療機関が限られている

オールオン4の治療は、通常のインプラント治療より高度な技術が必要となります。そのため、治療が可能な医療機関が限られています。滅菌設備や外科器具、CTなどの設備はもちろん、治療を行う歯科医師をはじめ、歯科衛生士、歯科技工士、歯科助手の全てに十分な経験が求められます。
- 健康保険適用外である

オールオン4治療には健康保険の適用ができません。そのため、保険が適用される総入れ歯による治療と比較するとコストがかかります。
しかし、オールオン4は基本的に医療費控除の対象となります。当院では様々なお支払い方法に対応しておりますのでぜひご相談ください。- 定期的なメンテナンスやセルフケアが必要

ご自身の歯、あるいはインプラントと同じようにご自身による毎日のケアや、定期的な通院、メンテナンスが必要です。インプラントの歯はご自身の歯と違って虫歯にはなりません。しかし「インプラント周囲炎」という歯周病に似た病気に罹る可能性がございます。オールオン4の場合も同様で、治療後の定期メンテナンスが非常に重要です。
- 治療ができない場合がある

オールオン4は多くの患者様に適用できる治療法ではありますが、患者様の顎の骨、またはお身体の状態によっては1日で歯が入らない、あるいは治療が出来ないことがあります。
当院のオールオン4の特徴
- 眠っている間に終わる「静脈内鎮静法」


当院では究極の無痛治療、「静脈内鎮静法」を採用しています。眠っている間に治療を終えることが可能ですので、インプラント治療が怖くて治療を避けていた方、高血圧・糖尿病などの基礎疾患をお持ちの方でも、痛みを感じることなく安心して安全なオールオン4治療を受けていただけます。
- 歯科専用CT装置(3次元立体画像撮影装置)

当院では、より安全で精密な治療を行うため、被曝量が少ない歯科用CT装置を導入しています。それにより、術中や術後、いつでも撮影できるので、より的確な治療が可能になります。
- 3Dシミュレーション

歯科専用CT装置で撮影した画像から作製したお口の3D画像を使い、コンピューター画面上で手術のシミュレーションを行うことができます。インプラントを埋め込む適切な位置や角度、人工歯の形状などを術前に締密にシミュレーションすることができ、治療の安全性と質を高められます。
- 3Dスキャニング

精密に歯型をとるための3D口腔内スキャナー「TRIOS 3」を導入しています。口腔内をこのカメラで撮影することで、インプラント埋入治療で使う「OneGuide System」へのデータの反映、歯の色の確認や再現、上部構造の作製、3Dプリンターを使った歯の模型作製などができます。従来のように、固まるまで時間のかかるシリコンやアルジネートなどの材料を使わず、短時間で精密な型どりや再現ができるので快適です。
- 3Dプリンター

当院には3Dプリンタを導入しています。それにより、患者様の正確な顎模型を作成し治療を正確に行うことができます。
- プラズマ照射(PlasmaX motion)

当院ではPlasmaX motionを使用し、全てのインプラントに光機能化処理を行っています。光機能化のプラズマ処理を行うと細胞との親和性が高まり、治療期間の短縮、手術の成功率向上に繋がります。つまり、作りたての新しいインプラントと同じ状態が再現されます。このプラズマ装置を導入している医院はわずか数%であり、当院のインプラントの成功率99%を100%に近づけることに役立っています。

オールオン4治療の流れ
- 検査と準備

CTによる画像データと口腔内の3Dデータの両方をチェックし、サージカルガイド・仮歯を作製します。
- インプラントの埋入、仮歯装着

3、4週間後にサージカルガイドを用いて、仮歯装着ならびにインプラント埋入を行います。抜歯が必要なケースにおいては、このときに抜歯も行います。
※患者様のお口の状態によっては、仮義歯になる場合もございます。- 本歯型取り

3〜6ヶ月経った後、型取りを行ってから本歯作製を行います。
- 本歯装着

さらに2〜4週間経った後に、完成した本歯を装着し、治療終了となります。
オールオン4手術当日の流れ
- おおよその治療時間

おおよその治療時間
10時〜17時- 10時 受付

- 10時30分 手術準備

- 11時 静脈内鎮静法にて手術開始

- 13時 手術終了
- 13時30分〜 仮歯作製
その場で調整を重ね、仮歯を作製します。患者様にはお席に座って休憩しながら過ごしていただきます。
- 17時 帰宅
術後の注意事項をご説明します。
次回の予約日(消毒、抜糸)を決めてご帰宅です。
当院のオールオン4は、長期にわたって継続する快適性を重要視しております。 QOLや毎日の食事のことを考え、満足していただけるインプラント治療をご提供します。
あなたに適しているのはオールオン4?普通のインプラント?
- 診断の基準
- 歯だけを失っているのか?
- 歯と歯肉を失っているのか?
- 歯と歯肉と骨を失っているのか?
- オールオン4がおすすめな人
- 総入れ歯を使用している方
- 上額/下顎の歯が1本もない、またはほとんどの歯を失った方(健康な歯が5本以下)
- 重度の歯周病、虫歯の方
- 顎の骨が薄くなっている方
- 従来のインプラント治療では本数が多く費用や治療期間に不安がある方
上記に1つでも該当する方は、残っている全ての歯を抜歯してでもオールオン4にすることが最適な場合があります。
健康な歯を抜歯してまでオールオン4にすべきなのはなぜか?
これには以下の理由があります。
①痩せた歯茎を増やすには、歯肉の移植や人工骨を使用しての増骨により、歯茎のボリュームを増やす必要があります。このような処置には多くの時間、費用、痛みが伴います。
②歯茎が痩せてしまっている方が普通のインプラント治療をすると、審美的な問題が生じる可能性があります。以下の写真のように、歯肉と歯の間に隙間が出来たり、最終的な人工歯が長くなってしまったり、ブラックトライアングル(歯と歯の間に黒い三角形に見える隙間)ができたりします。審美的な欠点だけではなく、食べ物が挟まりやすくなる、息が漏れて話しづらくなるなどの機能的な欠点も生じます。
審美的に良くない症例①


審美的に良くない症例②

オールオン4であれば
このような問題は起きません

オールオン4は人工歯と人工歯肉が一体になっているため、人工歯と人工歯肉が一体が解決されます。
部分入れ歯だと針金が見え、見た目が不自然になってしまうが、総入れ歯だと審美的には綺麗にみえるのと同じです。
部分入れ歯
総入れ歯
もし、前歯の1〜2本だけが残っている場合、前歯を抜かず普通のインプラント治療をしてしまうと、残っている歯とインプラントの歯の長さや大きさ、歯並び、歯肉との調和が理想的にはならない事が多いです。このような場合は、残っている歯を抜歯してオールオン4にした方が審美的に綺麗に仕上がると考えられます。
オールオン4の適用条件
①前歯の部分は長さが10mm以上のインプラントを入れられる量の骨がある
②奥歯の部分は長さが13mm以上、直径が4mm以上のインプラントが入れられる量の骨がある
③唇側の骨が2mm以上ある
※上記の条件を満たさない場合は、インプラントを1~2本追加で埋入する場合があります。(オールオン5・オールオン6)さらに場合によってはザイゴマインプラントになることもあります。

激安オールオン4の危険性
ノーベルバイオケア社のオールオン4®、ストローマン社のオールオン4(プロアーチ®)と他社製インプラント4本を入れた治療は全く別の治療です。


CTで確認すると骨量が充分にあるのですが細くて短いインプラントが7本入っている状態でした。オールオン4治療には必須の角度補正のSRAアバットメント(別名マルチユニットアバットメント)も装着されていない状態で偽物オールオン4というよりもオールオン7です。被せものはわずか3年で真っ二つに割れてしまったとのこと。下の歯の治療も放置されていました。
3Dプリンタによる顎骨模型の作製
当院では患者様のCT情報から3Dプリンタを使用して3Dの実寸大の顎骨模型を作製し、治療に役立てています。

ザイゴマインプラントやオールオン4を希望される方のように、顎の骨量が少ない患者さまに対し、当院ではCTスキャンで撮影した3Dデータをもとに、実寸大の骨模型を院内で1日で作製できる機器を備えています。
この工程を手術前に行うことで、医師は患者さまの顎骨の状態を模型として手に取り、立体的に事前把握できるという大きな利点があります。
オールオン4の料金

当院では医療費控除が使えます。かかった治療費から最大50%までお金が返って来ます。

| オールオン4 手術 + 仮歯 |
![]()
|
| 本歯 |
|
| 骨が少ない 方への治療 オプション |
|
| 静脈内鎮静法(麻酔を専門とする医師による) |
![]()
|
お支払い方法
当院では、以下のお支払い方法をご利用いただけます。
現金
受付窓口もしくは銀行振込でのお支払いをお願いしています。
※銀行振込の場合、振込手数料は患者様のご負担となります。
クレジットカード VISA、JCB、AMEX、MasterCardがご利用いただけます。
デンタルローン
オールオン4治療でデンタルローンをご利用いただけます。
「治療費を見るとなかなか手が出せない...」とお悩みの方はぜひともご検討ください。
年3.9%の金利、また最大120回までのお支払いが可能です。
当院のオールオン4症例
初診 治療前

入れ歯を使用されていないため、食事では柔らかいものしか食べることができない状態でした。
治療後(手術当日)

たった1日で大幅に歯の状況が改善され、好きな物を何でも食べることが出来るようになりました。(プラスチック製の仮歯)
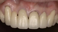
治療完了(本歯装着)

セラミックの本歯が入り、治療前は食べることが出来なかった固いものなど、好きなものを気にせずに何でも食べることが出来るようになりました。見た目も患者様の理想的な形で、本物の歯と歯肉のような艶や透明感があります。
Before

After

Before

After

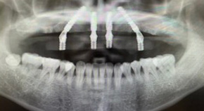
インプラント埋入後のレントゲン画像

当院のオールオン4ではここまで綺麗になります
上記の写真をご覧いただければお分かりいただける通り、オールオン4ではお口の状況が大幅に改善されます。
設備面やスタッフの経験値・技術などの観点からオールオン4治療が可能な医療機関は限られていますが、当院では自信を持ってご対応が可能です。
本物のオールオン4をあなたに
新しい時代の治療法、「オールオン4 ストローマン プロアーチ」をご存知ですか?
当院で行なっているオールオン4は全て、世界シェアのトップクラスを誇る新時代の治療法、オールオン4ストローマン プロアーチ(StraumannPro Arch)のシステムを使用しています。


オールオン4 ストローマン プロアーチ
(Straumann Pro Arch)の場合
最短1日で噛む喜びを取り戻すオールオン4開発者のクリニックの監修医院

オールオン4の開発者、「Dr.パウロ・マロ」に直接指導を受けた著名な医師が在籍されている医院にて、当院のスタッフはトレーニング・研修・セミナー・勉強会を定期的に行っている「提携医院」となっております。提携医院だからこそできる、難しい症例でも治療を可能にする「本物のオールオン4」治療を提供しております。
最近問題になっている「偽物オールオン4」、「格安オールオン4」には十分ご注意ください。
日本・海外問わず、トップレベルのエキスパートな先生方にご指導、ご教授いただきインプラント治療を行っております。
オールオン4、ザイコーマ治療の海外研修

メルボルンでのザイコーマ研修(2025)
メルボルンのオールオン4クリニックにて、アレックス先生(DR ALEX FIBISHENKO)によるザイコーマ研修セミナーのオペに参加してきました。

オールオン4(ザイコーマ)インプラントのトレーニングセミナー(2024アメリカ ホノルルにて)
オールオン4に関する研修を日本国内や海外で日々行っております。世界レベルの著名な先生方にご指導いただきながら、患者様に素晴らしい治療をご提供出来るよう、これからも研鑽してまいります。

米国UCLA(ロサンゼルス国立大学病院)
歯学部インプラントセンター留学
日本大学松戸歯学部卒業、東京医科歯科大学第一口腔外科にて在籍して外科手術を習得、その後米国UCLA歯学部に渡米しオールオン4などインプラント治療を専門に習得し帰国、開業に至りインプラント認定医取得。現在インプラントチームにて皆さまに貢献できるように日々最新の治療に励んでおります。
オールオン4で後悔しないための5つのポイント
大事な点を数点に絞るのは非常に難しいところではありますが、私自身も実際にインプラント治療を受けて考えてみた、大事なポイントを5つご紹介します。
①3DのCTレントゲンが完備されている
顎の骨は中に通っている神経や血管が多く、とても複雑な構造をしています。一般的なレントゲン写真では神経や血管の確認が難しく、歯科用3DのCTレントゲンがなければインプラント治療に必要な骨の解析ができません。
これをきちんと確認せずにインプラント治療を行っている先生もいらっしゃいますが、それは目を閉じて車の運転をするのと同じです。
したがって、その医院にCTレントゲンが完備されているかを事前に確認することをお勧めします。
また、そのクリニックでは完備されていない為に、大学病院などに依頼してCTレントゲンを撮影して来てもらい、持ち帰ってそれを確認したうえでインプラント治療を行う医院もあります。
その場合は治療中に何か問題があったときに対応しづらい、また治療後すぐにインプラントの安全確認の為の撮影ができない、など安全性に問題があり、治療が煩雑になる可能性があります。やはりCTレントゲンを完備している医院で治療しましょう。
②インプラント専門医院である
インプラント治療をお考えの場合、専門性の高い治療と設備、症例数、技術、綺麗な人工歯の仕上がり、安心の保証期間やメンテナンスシステム、その全てが揃っている必要があります。
しかし、ネットで検索してクリニックのホームページを見ても都合のいいことしか書いてない場合が多く、ページだけでどこまでが本当かを判断するのはとても難しいです。
普通の歯医者では、月に2〜3件程度のインプラント症例が一般的であり、普段は行っていない治療であるため経験値は必然と低くなります。
場合によってはインプラントの先生が常駐しておらず、必要な時のみ在院しているため、何か問題があった時にすぐに対応できなかったり、さらにはその先生が退職してしまって対応ができず、違う医院に回されるなどのトラブルが発生する可能性があります。
専門医院の場合はほぼ毎日専門医がインプラント治療を行っています。
そのため症例数も多く、経験値が高いのであらゆる対応ができ、最新の技術の治療を受けられる可能性が高いです。
また、他の歯医者で「あなたはインプラントが出来ない骨の状態なので、入れ歯になってしまいます」と入れ歯を勧められ、その後に当院に相談に来られる患者様がいらっしゃいますが、そのうちのほとんどの方がインプラント治療を行える状態でした。
骨のせいではなく歯科医のスキルや経験値が及ばないため、できないと言われてしまう事が多いように思えます。
ずっと入れ歯だった方がインプラント治療後によく咬めるようになって、「前はずっと入れ歯で咬みにくかったけど、こんなに咬めるようになるのならもっと早く来ておけばよかった。何でも食べられるから最近太っちゃったよ!」
そう言って喜んでもらえた時に、私はとても嬉しく思います。
治療した歯科医の腕次第で毎日美味しい物を楽しく食べられる生活が実現し、人生が変わるほどの治療になるのです。
セカンドオピニオンなどを通じて自分に合った先生を見つけることをおすすめします。
③口腔内写真を撮影している
インプラントは治療が完了したらそれで終わりというわけではなく、治療から5年、10年、20年先までしっかり責任を持って管理・メンテナンスを行う必要があります。
我々歯科医においても、術後のメンテナンスから学びを得て日々の技術を高めていく必要があります。
その為には治療前から治療後、そして定期検診まで、患者様一人一人の口腔内写真を細かく撮影・記録しておくことが重要です。
記録をつけておくことで、今後起こりうる口腔内の変化に素早く気付くことが可能になり、迅速な対応ができます。
また、最初から写真を意識して撮影しているクリニックでは、内容や完成度にかなりこだわった治療をされていることが多いです。
ホームページなどに治療前後の症例写真が多数掲載されているかどうかを確認するのは、医院を選ぶ良い基準になりうるかと思います。
④オールオン4治療後の定期検診やメンテナンスのシステムが整っている
オールオン4は、4本のインプラントに長いブリッジの人工歯を、とても小さなスクリューで固定しています。
そのため、最低でも年に1回は定期検診とメンテナンスが必要です。
長いブリッジの人工歯の下やインプラント部には歯石がとても付きやすく、それを取り除く必要があるのですが、その際には人工歯を取り外して綺麗にし、清潔な状態にしなければなりません。
また、それを固定している小さなスクリューは緩みやすく、場合によっては折れてしまっていることもあるので、その場合はスクリューを交換して正常な状態に戻します。
緩んだり折れたりしていても自分ではほとんど気づかないのですが、そのままにしておくと3本のスクリューのみで支えている状態ということになり、大きなトラブルの原因になります。
定期検診は車で例えるといわば車検であり、車検の時にタイヤの固定ネジが緩んでいないか、取れてないかを確認するイメージですね。(緩みに気がつかなければいつか大事故になるかもしれません)
4本のスクリューのみで支えられているため、クリニックではその取り外しや取り付けをいつでも簡単に行えます。
そして4本のインプラントに問題がないか、レントゲンを使って確認します。
中には取り外さないままの医院もあるので、定期検診やメンテナンスをしっかりと行っている医院かどうかの判断は、無料相談などの際にその説明があるかどうかで見極めてください。
⑤格安インプラントは避ける
値段と技術力や材料は比例しています。
同業者もたくさんいるため多くは語れませんが、安いインプラント治療には相応の理由があります。
高額な治療を行ってから後悔しないように、セカンドオピニオンとして他のクリニックでオールオン4の無料相談カウンセリングを受け、オールオン4に関する料金などについて全て理解し、納得できるような医院選びを行うことをおすすめします。
以上、私が個人的に考える、オールオン4で後悔しない為の5つのポイントでした。
治療するしないに関わらず、当院にもぜひ無料相談にお越しください。
オールオン4やインプラントについて、知りたいことすべてにお答えいたしますので、いつでもご予約お待ちしてます。
・機能性や審美性を重視するため自費(保険適用外)での診療となり、保険診療よりも高額になります。
・インプラントの埋入にともない、外科手術が必要となります。
・高血圧症、心臓疾患、喘息、糖尿病、骨粗鬆症、腎臓や肝臓の機能障害などがある方は、治療を受けられないことがあります。
・手術後、痛みや腫れが現れることがありますが、ほとんどの場合1週間ほどで治ります。
・手術後、歯肉・舌・唇・頬の感覚が一時的に麻痺することがあります。また、顎・鼻腔・上顎洞(鼻腔の両側の空洞)の炎症、疼痛、組織治癒の遅延、顔面部の内出血が現れることがあります。
・手術後、薬剤の服用により眠気、めまい、吐き気などの副作用が現れることがあります。
・手術後、喫煙や飲酒をすると治療の妨げとなるので、1週間は控えてください。
・インプラントの耐用年数は、口腔内の環境(骨・歯肉の状態、噛み合わせ、歯磨きの技術、メンテナンスの受診頻度、喫煙の有無など)により異なります。
・毎日の清掃が不十分だった場合、インプラント周囲炎(歯肉の腫れや骨吸収など)を引き起こすことがあります。
・インプラント埋入治療と同じくインプラントを埋め込むので、基本的なリスク・副作用は上記インプラントによる治療と同様です。
・治療当日に仮歯を装着できますが、最終的な人工歯を装着できるのは、インプラントと骨とがしっかり結合してからであり、それまで数ヵ月の期間を要します。
・デジタルシミュレーションにより、患者様固有のOne Guideを作製・装着して手術を行うサージカルガイドシステムです。サージカルガイドシステムとしての総称であり、医療機器(物)ではありません。
・OneGuide Systemは、より適切なインプラント手術を行うために導入しているシステムであり、OneGuide(=One Guide テンプレート)という歯科技工物と、OneGuideキットという一般医療機器・歯科用インプラント手術器具を使います。
・OneGuide(=One Guide テンプレート)は、インプラント手術時の位置、深さ、角度などを補助するガイドであり、医療機器ではなく、歯科技工物です。
・OneGuideキットは、OneGuide テンプレートを使用する手術用のキットであり、一般医療機器、歯科用インプラント手術器具(医療機器届出番号:13B1X10106000077)に分類されている医療機器です。
・OneGuide Systemを使用してインプラント手術を行うことで、より良い治療結果へと導くことができますが、リスク・副作用がないわけではありません。詳しくは、上記「インプラント埋入治療にともなう一般的なリスク・副作用」をご確認ください。
・機能性を重視するため自費(保険適用外)での診療となり、保険診療よりも高額になります。
・外科手術が必要となります。
・手術後、痛みや腫れが現れることがありますが、ほとんどの場合1週間ほどで治ります。
・治療後、骨がしっかりと作られるまで3~6ヵ月の治癒期間が必要です。
・歯周病の方、心疾患や骨粗鬆症など内科的な疾患のある方は、骨再生治療が適さないことがあります。
・口腔内の衛生状態の悪い方、顎骨が足りない方、免疫力や抵抗力が低下している方、歯周病発生リスクの高いとされる糖尿病の方、喫煙する方は、すぐに治療できないことがあります。
・日常的に服薬しているお薬などが治療に影響することがあります。
・サイナスリフト・ソケットリフトの処置にあたり、上顎洞膜が破れる可能性があります。その場合、手術後に抗生剤を服用して感染を予防し、膜が自然に治癒するまで待ちます。
・体の状態や細菌感染により、骨補填材と骨とが結合しない場合があります。この場合、原因を取り除き、ご希望があれば再治療を行います。
・骨の成長途中であるお子さま(おおよそ18歳未満の方)、妊娠中の方は治療が受けられません。
LINE







