㊵左上1番、前歯の1Dayインプラント(一日で仮歯まで入る、抜歯同期埋入の切らない縫わないワンデイインプラント法)2023年10月13日(金)
前歯が残せず抜歯となりインプラント希望の患者様です。
今回の症例は、抜歯、インプラント埋入、増骨、仮歯作製まで同日に全て行うことができます。

はじめに抜歯をします。


抜歯後、ガイドステントを使ってインプラントを埋入していきます。

ガイドステントとはインプラントを正しい方向に正確に入れる道具です。
前歯のインプラント治療はとても難しく、ガイドを使わないと白いセラミックの歯が入る時に、見た目が綺麗に仕上がらないので、当院では必ず使ってます。
インプラントを埋入し、骨が足りないところに人工骨を入れて増骨をします。
麻酔が効いているので、術中は痛みはほとんどありません。そして抜いた場所にインプラントを入れるので、メスを使わない、切らない縫わないインプラントを行いました。
なので抜糸に来る必要もありません。

同時に、仮歯(プロビショナルレストレーション)の作製をして、蓋の代わりとなるこの仮歯をつけます。

インプラントを使った仮歯なのでクオリティも高く、本当の歯のような見た目で噛むことも可能です。


(↑仮歯作製中)
仮歯が完成したらインプラントに付けます。
前歯は見える箇所なので、歯がないと完成までの間、見栄えが悪く心配な方も多いと思いますが、当日に仮歯まで入れる事が可能です。(^^)

こちらが埋入前、埋入後のCTレントゲンです。
埋入前

埋入後

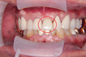
赤い丸がある箇所に、当日、正しい位置へインプラントが埋入され、仮歯まで入りました。
埋入後はインプラントと骨、人工骨がしっかりくっつき、仮歯(プロビショナルレストレーション)を使って、歯肉と歯肉の形態が治るのを待ちます。
8週間後、骨とインプラントがくっついたのを確認後、セラミックの歯を作って完成です。(くっついたかは、ISQ値(振動周波数分析器)と、ペリオテスト測定器を使ってチェックします)
一般的には、この治療は1年かかる治療ですが、(普通は抜歯して、3~6か月待って、骨が出来たらインプラントを行い、そして3ヶ月後に歯が入る)
当院のこの治療法では、骨の硬さや状態にもよりますが、インプラント当日に仮歯が入って、順調に治癒すれば、8週後にセラミックの歯が入って治療が完了します。

こちらが最終的なジルコニアの歯の完成です。


材質がジルコニアなので、見た目も自然でとても綺麗で、劣化も少ないです。
これで、インプラント治療が終わりました。
自分の歯のように噛んでお使い頂けます(^^♪
D6966
LINE


