コンセプト|難症例でも切らない・縫わない安全性に優れたインプラント手術をご提供する、葛西の台場フロンティアデンタルクリニック

LINE LINE 場所はこちら メニュー

ブログ

Blog

㊳院長自身が、1Dayインプラント治療を、2本受けてみた感想2023年09月30日(土)

先日、歯科医師である自分が、他院にて実際にインプラント治療を受けてきました。

普段は歯科医師としてインプラント治療を行っていますが、今回は実際にインプラント治療を受ける側として、感じたことを書いてみました。

インプラント治療を受けたいけれど、「怖い」「痛そう」「大変そう」「腫れそう」などと言う不安や、恐怖心を抱いて悩んでいる方は、これを参考にしてイメージが変わって頂けると幸いです。

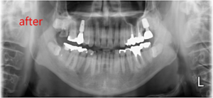
インプラント治療前と後のレントゲン写真です。

~治療の流れ~

こちらが治療前のレントゲン写真です。丸を付けた箇所がインプラント治療を受ける場所です。

左の赤丸は、虫歯の為、歯の根っこが悪くなり抜歯が必要な場所です。(右上4番)

右の赤丸は、歯が抜けたまま放置されていた場所です。(左上7番)

 

☆インプラント埋入手術当日

 

 

①虫歯の為抜歯が必要であった歯(右上の前から4番目の歯)の抜歯を行い(上の写真)

 

②そして、抜いた箇所にそのままインプラントを埋入(抜歯即時インプラント)

③インプラントを埋入後、仮歯を装着して終了です。

手術にかかった時間は30分で、治療時間全てでは1時間半でした。

手術中は終始、麻酔がしっかり効いていたため、痛みは一切ありませんでした。

帰宅後、多少の違和感はありましたが、予防的に痛み止めを服用していたので、腫れも痛みもほとんど感じることなく、その日を終えることができました。そして次の日も、特に痛み腫れはありません。

ここはこの後インプラントが安定するまで8週間待ち、セラミックの歯の型取りをして、2~3週間後、セラミックの歯が完成し、仮歯をセラミックの歯に交換、インプラント治療終了です。

手術からセラミックの歯が入るまでかかった期間は約3ヵ月でした。

手術当日からセラミックの歯が入るまで、特に痛みも腫れもなく、快適に治療を終える事ができました。

 

今回の抜歯即時インプラントは、手術当日に抜歯をし、その際にできた穴にインプラントを埋入します。そして、蓋の代わりとなる仮歯をつけます。

「メスを使わない」「切らない縫わない」インプラント手術です。

見た目も自然で、後日抜糸の為に来院する必要もありません。

 

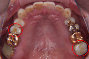
こちらがインプラント治療を終えた歯です。

こちらはCTレントゲンの写真です。

その後、左上の一番奥の歯も同様の流れでインプラント治療を行いました。

 

 

 

治療後の全体の写真とレントゲン写真がこちらです。

 

インプラントは、見た目も自然で、機能も普通の歯と同様、硬いものでもなんでもよく噛めます。

柔らかい炭水化物中心の生活は足腰が弱まったり、痩せたり疲れやすくなったりしますが、お肉なども食べられるようになることで、たんぱく質も摂取でき、健康的な食生活を送ることができます。

そして、噛むことはアルツハイマーなどの痴呆症やボケの予防にも繋がります。

~治療を終えて~

インプラント治療を行っている歯科医師は沢山いると思いますが、実際に治療を受けたことのある歯科医師はあまりいないと思います。(歯が悪い歯科医師が多いのも事実ですが。)

実際に体験して、患者様の目線に立って、インプラント治療について考えることができました。この経験を生かして、より患者様に寄り添ったインプラント治療を行っていきたいと思います。

林先生、ありがとうございました(^^♪

 

CLINIC CONTENTS
  1. ホーム
  2. コンセプト
  3. ドクター紹介
  4. 求人情報
  5. 治療の流れ
  6. 料金表
  7. アクセス
  8. お問い合わせ
IMPLANT CONTENTS
  1. より良い治療のための取り組み
  2. 1DAYインプラント
  3. 抜歯即時埋入インプラント
  4. 1日で歯が入るワンガイドシステム
  5. インプラント手術の種類
  6. オールオン4
  7. 症例集